Cabinet du Dr Luc NEVELS
Chirurgien-Dentiste à Draguignan, exercice limité à l'orthodontie

Blog - Page 2

Les grincements de dents : le bruxisme

Les grincements de dents : le bruxisme

Le bruxisme est l’action de grincer des dents, particulièrement durant le sommeil, en produisant des bruits de frottements dentaires.

Les concentrations en fluor des eaux minérales

Les concentrations en fluor des eaux minérales

La quantité de fluor présente dans les eaux minérales est très variable et il est important pour vous de bien la connaître.

La pose de vernis fluoré pour les enfants et les jeunes adultes de 3 à 24 ans

La pose de vernis fluoré pour les enfants et les jeunes adultes de 3 à 24 ans

Le fluor, par voie générale ou en application locale, joue un rôle essentiel dans la protection des dents de l’enfant.

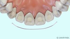
Fil de contention

Fil de contention

Le quad helix : traitement du palais et de l’alignement des dents

Le quad helix : traitement du palais et de l’alignement des dents

Les gingivites

Les gingivites

Vos gencives sont gonflées, rouge foncé ou bien elles saignent, même de manière épisodique ?
Cette situation peut révéler l’existence d’une gingivite.

Pourquoi faut-il remplacer une dent manquante ?

Pourquoi faut-il remplacer une dent manquante ?

La totalité des dents des deux maxillaires constitue un ensemble stable et la perte d’une seule dent peut perturber tout l’équilibre de la bouche.

Vrai ou faux ?

Vrai ou faux ?

Testez vos connaissances, et trouvez les réponses aux questions sur votre santé bucco-dentaire.

Calendrier des soins de la future maman

Calendrier des soins de la future maman

Vous êtes enceinte et vous vous demandez si vous pouvez effectuer des soins dentaires ? Nos réponses à vos questions.

Le syndrome d'apnées obstructives du sommeil (saos)

Le syndrome d'apnées obstructives du sommeil (saos)

Les micro-réveils nocturnes peuvent être le signe d'une apnée du sommeil avec obstruction respiratoire. Si vous êtes concerné, consultez rapidement pour retrouver un sommeil serein !

Les aphtes

Les aphtes

Petites lésions apparaissant sur la langue ou la gencive, les aphtes sont généralement sans gravité. Quelle est leur origine et comment soulager la gêne et la douleur ?

L’éruption des dents de lait et des dents définitives

L’éruption des dents de lait et des dents définitives

L’éruption des dents est variable d’un enfant à l’autre. La première dent de lait sort vers 6 mois et la dernière tombe vers 13 ans. Un suivi régulier permettra de surveiller leur bon développement et l’apparition des dents définitives.

Affichage des articles 13-24 sur 85